임플란트 > 전후사진 | 일산화이트드림치과ㅣ일산치과, 일산치아교정, 일산교정치과, 일산임플란트
임플란트 수술 가격보다 중요한것은?자세히 보기
치과교정과전문의 우수증례상 3회 대표원장 진료 자세히 보기
HOME   |   LOGIN   |   JOIN
8f6d19aa6c7ae775de21a83dfaaa221a_1723166690_4886.jpg

WHITE DREAM DENTAL CLINIC

화이트드림 전후사진

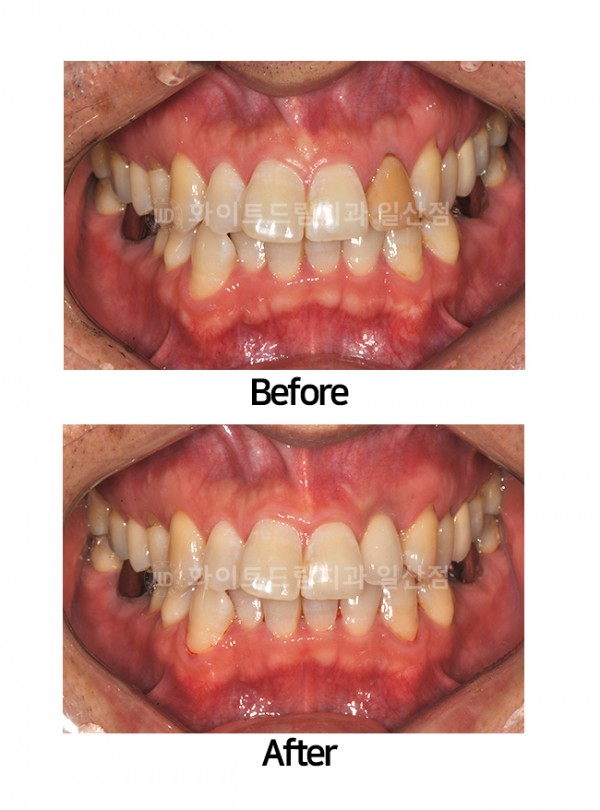
임플란트 임플란트

페이지 정보

작성자 화이트드림치과 댓글 0건 조회 1,165회 작성일 22-06-29 13:36

본문

치료사례: 전치부 발즉 임플란트

댓글목록

등록된 댓글이 없습니다.

빠른상담

  • 화이트드림치과의원 | 대표: 이상준 | 주소: 경기 고양시 일산동구 정발산로 24 웨스턴돔 B동 302호
    사업자번호 : 377-05-00619 | TEL: 031-811-2885 / 031-811-2879 / FAX : 031-811-2979
    COPYRIGHT 2019 White Dream Dental. ALLRIGHTS RESERVED.