덧니교정 > 전후사진 | 일산화이트드림치과: 4인 전문의 협진, 임플란트/치아교정 전문 치과
임플란트 수술 가격보다 중요한것은?자세히 보기
치과교정과전문의 우수증례상 3회 대표원장 진료 자세히 보기
한자리에서 10년, 감사인사자세히 보기
HOME   |   LOGIN   |   JOIN
8f6d19aa6c7ae775de21a83dfaaa221a_1723166690_4886.jpg

WHITE DREAM DENTAL CLINIC

화이트드림 전후사진

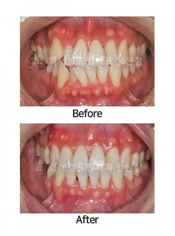
치아교정 덧니교정

페이지 정보

작성자 화이트드림치과 댓글 0건 조회 1,207회 작성일 22-05-13 13:43

본문

치료내용: 덧니로 인한 치열 개선

댓글목록

등록된 댓글이 없습니다.

빠른상담

  • 화이트드림치과의원 | 대표: 이상준 | 주소: 경기 고양시 일산동구 정발산로 24 웨스턴돔 B동 302호
    사업자번호 : 377-05-00619 | TEL: 031-811-2885 / 031-811-2879 / FAX : 031-811-2979
    COPYRIGHT 2019 White Dream Dental. ALLRIGHTS RESERVED.